After four years of disputes over the alleged pregnancy of an Egyptian mummy from the collection of the University of Warsaw (UW), exhibited at the National Museum in Warsaw (NMW), the case has finally been solved by an international team of experts.
This extraordinary story started in 2015, when three UW doctoral students initiated the „Warsaw Mummy Project” (WMP) based on an existing collaboration between the University and the NMW. The aim of the WMP was to conduct multidisciplinary research on ancient Egyptian mummies collected in the NMW. The crucial element of the research was radiological imaging using computed tomography (CT).
One of the most interesting mummies examined was the mummy from the sarcophagus of a priest Hor-Djehuti, who, during the WMP study, turned out to be a mummy of an unknown woman. The mummy has belonged to the UW since 1826, it was mentioned in 1862 in “Children’s Friend” magazine, and it has an intriguing history that recently become even more surprising.

A mummified woman – the subject of the current study and the sensational theories about the alleged pregnancy and nasopharyngeal cancer. The mummy belongs to the University of Warsaw and is exhibited at the National Museum in Warsaw. Phot.: K. Braulińska
Relaying on their own interpretation of radiological images, two archaeologists from the WMP – Wojciech Ejsmond (Institute of Mediterranean and Oriental Cultures of the Polish Academy of Sciences) and Marzena Ożarek-Szilke stated in their two publications from 2021 (http://dx.doi.org/10.1016/j.jas.2021.105371, http://dx.doi.org/10.1016/j.jas.2021.105504), that the mummified woman was 7 months pregnant, and the fetus was fixed (”pickled”) in her pelvis as a result of unusual chemical reactions.
This information echoed widely in the world, and the „pregnant mummy from Poland” – as the first find of this kind – with its allegedly ”pickled” fetus, became an archaeological sensation.
The authors of the theory however did not check their observations and conclusions with any radiologist. Moreover, in the following year they announced another sensational hypothesis in the media, that the woman’s skull contained possible traces of nasopharyngeal cancer (https://blog.warsawmummyproject.com/possible-cause-of-death-of-the-pregnant-mummy, https://www.livescience.com/pregnant-mummy-cancer).
The global spread of information about the mummy of a pregnant Egyptian woman, who probably died of nasopharyngeal cancer, caused the Warsaw mummy to go viral – a celebrity mummy, even called a „Mysterious Lady” by the two authors. In addition, the supposed appearance of the mummified woman was reconstructed from her skull images and was widely presented in media (eg. https://www.ancient-origins.net/news-history-archaeology/mummy-pregnant-woman-0017509, https://doi.org/10.1016/j.jasrep.2025.104978).
The theory of pregnancy and cancer in the mummy did not represent the views of the WMP. In fact, it was strongly contested by the WMP main coordinator for NMW and co-founder of the project – Kamila Braulińska (UW). Above all, she criticized the unacceptable lack of consultations of CT images with a radiologist.
She also objected to the fact that the CT data of this mummy, that she had personally shared with her colleagues, was treated in a sensationalist way to garner attention, rather than used for serious and respectful scientific research, undertaken in consultation with qualified radiologists. Moreover, all this – in the context of human remains that deserve respect no matter when the person died.

The consultation of computed tomography images with radiology specialists (and not only with a gynaecologist instead!) is the grounds of an honest research. Phot. from K. Braulińska’s archive
The similar opinion was also expressed by the then chief conservator of the NMW Dorota Ignatowicz-Woźniakowska delegated by the museum as a project leader, who emphasized the moral and ethical dimensions of the whole matter.
In addition, the radiologist who performed the CT scans (Dr. Łukasz Kownacki) pointed out the lack of any visible features of pregnancy or nasopharyngeal cancer on radiological images. As the basis for the phenomenon of the „pregnant mummy”, he postulated the pareidolia phenomenon (recognizing known shapes in random images) and excessive research enthusiasm of the two archaeologists from WMP.
Although precise radiological and archaeological arguments against the presence of pregnancy in the mummy were published by Braulińska et al. in 2022 (https://rdcu.be/cSFJ2), and even a Vice-Dean of the Faculty of Archaeology of the UW, Prof. Arkadiusz Sołtysiak wrote critically on the matter (https://archeowiesci.pl/en/the-mummy-with-a-pickled-fetus/), this did not stop the worldwide spread of the sensational theory.
The authors of the pregnancy theory consistently maintained their position, at the same time trying to publicly discredit the competence of their opponents on many occasions.
Even innovative Polish medical holography imaging methods in Mixed Reality (XR) used for research by Braulińska et al. could not change the situation (see here: https://rdcu.be/cSFJ2).
The heated scientific dispute became widely known in the world and often added lively color to international conferences and events in the field of Egyptology and archaeology.
Universities, other scientific institutions, museums, ministries, public and private medical facilities, and even manufacturers and distributors of diagnostic imaging equipment were pulled into the unprecedented phenomenon of the „pregnant Egyptian mummy” in Poland. The authorities of the Polish Academy of Sciences appealed for a solution through further scientific publications and gave the case an official code GP.VPSF.401.1.2022.

A set of objects in the the mummy’s pelvis, interpreted as the alleged fetus. A 3D reconstruction of the entire and reconstructed 2D cross-sections through the pelvis packages. CT scan and postprocessing: Ł. Kownacki
In the absence of a clear public message on the mummy from Warsaw, during the World Congress on Mummy Studies in Bolzano, Kamila Braulińska publicly called the international research community for support in conducting an international consultation aimed at issuing a final opinion on the mummy.
Her proposition received strong attention, and an international team of 10 scientists was formed in order to finally decide whether the Egyptian mummy exhibited in the Gallery of Ancient Art contains a fetus and possible traces of nasopharyngeal cancer.
Participating experts representing 9 countries (Austria, Canada, Croatia, Egypt, France, United Kingdom, Italy, Switzerland, United States) and over a dozen scientific centers analyzed the radiological images of the famous mummy from Poland in a transparent and independent manner.
Prof. Sahar Saleem, an expert from the University of Cairo (Department of Radiology, Kasr Al Ainy Faculty of Medicine), who had already commented Ejsmond at al. work (https://dx.doi.org/10.1016/j.jas.2021.105508), was among the participants of the current endeavor. This radiologist became famous for her study of Egyptian pharaohs’ mummies, including Tutankhamun. She also specializes in fetal diagnostics using magnetic resonance imaging. It should be noted that Saleem studied the fetal remains discovered in Tutankhamun’s tomb and is the author of many books and publications on Egyptian mummies. She is a popularizer of ancient Egypt’s history known, also from many television programs.
Prof. Sahar Saleem had previously replied to the revelations of pregnancy, however she is just the first example from the array of all the distinguished authors who contributed to this unique study and publication. The other co-authors were: Fabio Cavalli from the Research Unit of Paleoradiology and Allied Sciences, LTS-SCIT– SUGI, Ospedale Maggiore, Trieste, Italy; Mislav Čavka from the University Department of Diagnostic and Interventional Radiology and School of Medicine, both the University Hospital Centre Zagreb, Croatia; Fabrice Dedouit from the Forensic Department, Hôpital Rangueil, Toulouse, France; Patrick Eppenberger from the Institute of Evolutionary Medicine, University of Zurich, Switzerland; Dorota Ignatowicz-Woźniakowska from the Department of Conservation, National Museum in Warsaw, Warsaw, Poland; Łukasz Kownacki from the Department of Diagnostic Imaging, European Health Center, Otwock, Poland; Maria Kurpik from the Department of Conservation, National Museum in Warsaw, Warsaw, Poland; Robert D. Loynes from the KNH Centre for Biomedical Egyptology, University of Manchester, UK; Andrew Nelson from the Department of Anthropology, Western University, London, Canada; Stephanie Panzer from the Department of Radiology, University Hospital and Institute of Biomechanics, both Paracelsus Medical University Salzburg, Austria; Katherine Van Schaik from the Department of Radiology and Radiological Sciences, Department of Electrical and Computer Engineering and Department of Classical and Mediterranean Studies, all Vanderbilt University Medical Center, Nashville, USA; and Albert Zink from the Institute for Mummy Studies, Bolzano, Italy.
„I am extremely grateful to the outstanding scientists and especially my co-authors from around the world, for the great support they have given me in the preparation of this unique project, aimed at finally establishing the scientific truth about the Warsaw mummy” – says Braulińska.
The work of the international team resulted in the latest article published in the journal „Archaeological and Anthropological Sciences” entitled „Innovative approach to the verification of the alleged pregnancy and cancer in the Warsaw mummy: international case study with extended research.” (https://doi.org/10.1007/s12520-024-02145-8).

The discussed paper on the Springer Nature publisher’s website. Such an article – case study is the first initiative of the kind in the world.
Mummy research specialists unanimously ruled out both the presence of pregnancy and traces of nasopharyngeal cancer in the Warsaw mummy. Thus, they collectively and definitively confirmed the observations published earlier by Braulińska et al. (https://link.springer.com/article/10.1007/s12520-022-01598-z).
An important aspect of the article is the description of the cooperation between scientists using an on-line radiological platform, probably used for the first time to conduct an international consultation on an Egyptian mummy.
„Preparing the consultation in the radiological cloud and participating in this extraordinary undertaking was a great experience, because world experts evaluated Polish medical data obtained from the ancient Egyptian mummy” – says radiologist, doctor Łukasz Kownacki, who performed the CT examination of the mummy.
“Although the study concerns archaeology, the latest medical methods and the fact that half of the 14 co-authors are radiologists ensures that our work has a strong medical aspect. This fits perfectly into the return of medical studies to the University of Warsaw, the institution that also owns the studied mummy.” – adds archaeologist Kamila Braulińska.

Doctor Łukasz Kownacki is using XR with CarnaLife Holo (MedApp S.A.) software and MS HoloLens 2 in the radiological study of the mummy. Phot. from Ł. Kownacki’s archive
The new publication also describes the spectacular phenomenon of the „pregnant mummy” as a para-scientific media and social phenomenon that got out of control in the media and on the Internet. The scale of the issue can be easily checked by typing „pregnant Egyptian mummy from Warsaw” into any web search engine.
„Ancient Egypt has renewed worldwide interest with the opening of the monumental Grand Egyptian Museum in Giza. Therefore, it is also worth remembering about other collections, including those in Polish museums, where interesting items on this subject have been gathered ” – emphasizes Dorota Ignatowicz-Woźniakowska.
„Paraphrasing the famous words of Prof. Kazimierz Michałowski – the doyen of Polish archaeology and Egyptology – it can be said that Poland cannot afford not to conduct an international scientific dialogue on Ancient Egypt, which is why our research effort has certainly paid off” – concludes Braulińska.
The mummy, among other unique exhibits, is on permanent display in the Gallery of Ancient Art of the National Museum in Warsaw. The new article is available on-line here: https://rdcu.be/eaAyd.
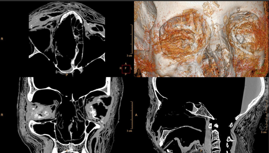
The initial illustration comes from the paper of K. Braulińska et al.: Innovative approach to the verification of the alleged pregnancy and cancer in the Warsaw mummy: international case study with extended research, in the journal Archaeological and Anthropological Sciences, 17:65, 2025, Fig. 11 (fragment). It represents the 2D and 3D reconstructions of the mummy’s skull imaged using computed tomography. CT scan and postprocessing: Ł. Kownacki